Карьеру пианиста спасли воронежские врачи, удалив ему опухоль на пальце

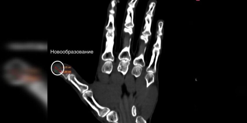
Фото пресс-службы ВОКБ №1. Опухоль на пальце левой руки 47-летнего пианиста удалили хирурги Воронежской областной клинической больницы №1.

Фото пресс-службы ВОКБ №1.

Опухоль на пальце левой руки 47-летнего пианиста удалили хирурги Воронежской областной клинической больницы №1.

На момент обращения к медикам, новообразование, вытеснив мягкие ткани и разрушив часть кости, занимало практически весь ноготь, рассказали в больнице. Для карьеры музыканты это могло стать окончанием профессиональной карьеры.

Биопсия тканей показала, что опухоль доброкачественная. Пианист рассказал, что новообразование появилась два года назад, периодически появлялись боли, иногда рана открывалась.

Удалить опухоль через ноготь, сохранить кость, а также сделать пластику ногтевой фаланги местными тканями смогли хирурги во время этой уникальной операции.

Пациента отпустили домой спустя несколько часов после хирургического вмешательства.

Полноценно вернуться к работе пианист смог уже через месяц.

Ранее «Вести ПК» писали, что пациента с глубокой опухолью в центре мозга прооперировали врачи в Воронеже.

Роман Жилин

Последние новости

Из-за ремонта железнодорожного переезда в Воронеже изменят маршрут пригородного автобуса

Фото: Google Maps Из-за ремонта железнодорожного переезда на левом берегу Воронежа временно изменится маршрут одного из пригородных автобусов.

Проведенное госжилинспекцией профилактическое мероприятие помогло воронежцам добиться ремонта кровли

Жительница многоквартирного дома № 8 по ул. Космонавтов обратилась в ГЖИ Воронежской области с жалобой на регулярную протечку кровли.

Эксперты назвали самые комфортные города Воронежской области

Воронеж вошёл в топ-10 крупнейших российских мегаполисов по качеству городской среды Фото:

Когда скидки превращаются в ловушку: как маркетологи учат нас тратить

Почему “-50% только сегодня” не всегда значит выгоду, как скидки играют на эмоциях и почему даже рациональные люди становятся жертвами маркетинговых трюков.

Здесь вы найдете свежие и актуальные новости в Березниках, охватывающие все важные события в городе

Комментарии (0)

Добавить комментарий

Ваш email не публикуется. Обязательные поля отмечены *